顕微鏡用CMOSカメラ PCコントロール
ToupViewソフトウエアでコントロール
ToupView CMOSカメラ

カメラは、4シリーズ 12機種
1,IPシリーズ 150~1230万画素 グローバルシャッター
2,MTRシリーズ 704万画素 ペルチェ2段冷却 グローバルシャッター
3,EPシリーズ 310~1200万画素 ローリングシャッター
4,Low Priceシリーズ 310&500万画素 ローリングシャッター
ToupViewソフトウエアの特徴
・エリア指定 ホワイトバランス



・ターゲット設定式オートエクスポージャー
→自動露光モードで希望の明るさをターゲットと指定でき、お好みの明るさで自動露光が働きます。
・3種類から選べる画像保存
→保存名称を設定しての自動保存の他に、都度名前を付けての保存など使い分けができます。
・エリア指定ブラックバランス



・簡単便利な画像重ね合わせ
→多重染色サンプルの蛍光画像を何種類でも重ね合わせた合成画像を簡単に作ることができます。
→色素別に調節が行え全体のバランスを確認しながら仕上げることができます。
・多くのパラメーターを持つ自動カウント機能
→サンプルに合った設定が可能で、数量だけでなく面積など計算ができExcelに画像付きで出力ができます。


シリーズ4種 カメラの特徴
IPシリーズカメラ グローバルシャッターCMOSカメラ

・グローバルシャッターは、CMOSセンサーの情報を面で一度に取り出します。
・センサー面でのタイムラグが無く、動くサンプルなどブレや歪みの無い撮影が行えます。
・グローバルシャッターは、動画から静止画を切出してもブレや歪みの無い画像が得られます。
・5機種ともピクセルサイズが同じで、感度も同一の高感度カメラです。
・フレームレートは、1230万画素モデルでも23fpsあり快適に使えます。
・150万画素はフレームレートが164fpsと早く、動体の撮影に適しています。
・感度が高くフレームレートも高いので明視野から、特に蛍光撮影まで威力を発揮します。
グローバルシャッターとローリングシャッターの比較
ToupViewコントロール COMSカメラ 仕様 | ||||
IP112300A | IP109000A | IP105000A | IP103100A | |
カメラ | Sony IMX304 1/1.1inch 1230万画素 |
Sony IMX305 1inch 900万画素 |
Sony IMX264 2/3inch 500万画素 |
Sony IMX265 1/2.8inch 310万画素 |
ピクセルサイズ | 3.45x3.45μm | |||
シャッター方式 | グローバルシャッター | |||
感 度 | 1146mv with 1/30s | |||
フレームレート | 23fps 4096x3000 | 34fps 4096x2160 | 35fps 2448x2048 | 53fps 2048x1536 |
インターフェース | USB3.0 | |||
露光時間 | 0.244ms~15s | 0.1ms~15s | 0.1ms~15s | 0.1ms~15s |
金額 | ¥630,000 | ¥420,000 | ¥320,000 | ¥250,000 |
キャンペーン金額 | ¥468,000 | ¥298,000 | ¥268,000 | ¥198,000 |
超高感度 OwlEye-シリーズカメラ(ペルチェ2段冷却)

明視野から蛍光画像まで、高いレベルで使えるオールラウンダーなカラーとモノクロのCMOSカメラになります。
特徴を持った3種類のOwlEyeカメラをご用意いたしました。

・OwlEye-710C 700万画素グローバルシャッターカラーCMOSカメラ、ちょうどいいベストチョイスカメラ
・OwlEye-710M 700万画素グローバルシャッターモノクロCMOSカメラ、シリーズで一番の高感度カメラ
・OwlEye-830C 830万画素ローリングシャッターカラーCMOSカメラ、4k画角型カメラ
OwlEyeシリーズ ペルチェ2段冷却 CMOSカメラ 仕様 | |||
OwlEye-710C MTRP107100A | OwlEye-710M MTRM107100A | OwlEye-830C MTRP108300A | |
カメラ | Sony IMX428 カラー 1/1inch 700万画素 |
Sony IMX428 モノクロ 1/1inch 700万画素 |
Sony IMX858 カラー 1/1.2inch 830万画素 |
シャッター方式 | グローバルシャッター | グローバルシャッター | ローリングシャッター |
感 度 | 2058mv with 1/30s | 3345mv with 1/30s | 5970mv with 1/30s |
フレームレート | 51.3fps 3200x2200 133.8fps 1584x1100 |
51.3fps 3200x2200 133.8fps 1584x1100 |
45fps 3840x2160 70fps 1920x1080 |
インターフェース | USB3.0 | USB3.0 | USB3.0 |
露光時間 | 0.1ms~3600s | 0.1ms~3600s | 0.1ms~3600s |
金額 | ¥630,000 | ¥590,000 | ¥450,000 |
キャンペーン金額 | ¥498,000 | ¥468,000 | ¥348,000 |
High Speed CMOSカメラ
高速&高感度グローバルシャッターCMOSセンサー、微弱蛍光撮影でも高フレームレートで撮影!!

・高速フレームレートで撮影できるグローバルシャッターCMOSセンサーカメラです。
・カラーモデルとモノクロモデル共に、 235fps(ベストコンディション)を得ることができます。
ビニングを使えば、 523fpsと超高速撮影が可能となります。
・感度もカラーモデルは、1146mv with 1/30s、
モノクロモデルでは1830mv with 1/30sと高感度撮影か可能です。
・動きの速いサンプルでもブレルことなく撮影することができます。
High Speed CMOSカメラ 仕様 | ||
項 目 | IUA1500KPA カラー | IUA1500KMA モノクロ |
CMOSセンサー | Sony IMX273LQR(C) 1/2.8inch 150万画素 | Sony IMX273LLR(M) 1/2.8inch 150万画素 |
シャッター方式 | グローバルシャッター | グローバルシャッター |
感 度 | 1146mv with 1/30s | 1830mv with 1/30s |
フレームレート | 235fps 1440x1080 | 235fps 1440x1080 |
2x2 ビニング | 523fps 720x540 | 523fps 720x540 |
インターフェース | Micro USB3.0 Type-B | Micro USB3.0 Type-B |
露光時間 | 0.15us~15s | 0.15us~15s |
金 額 | ¥310,000 | ¥310,000 |
キャンペーン金額 | ¥246,000 | ¥246,000 |
Low Priceカメラシリーズ
Feel free CMOSカメラ
Feel free CMOSカメラ USB2.0 CP605100B

・ちょうどいい500万画素Sony IMX335CMOSセンサーを搭載して綺麗な画像が得られます。
・コントロールソフトウエアは、多機能なToupViewソフトです。
・フレームレートもフル画素で26fpsと早いのでストレスがありません。

・ボディーが小さいので接眼レンズに入れても使用できます。
※アイピー用Cマウントアダプターが必要です。
Feel free CMOSカメラ 仕様 | |
項 目 | CP605100B |
カメラ | Sony IMX335 1/2.8inch 500万画素 |
シャッター方式 | ローリングシャッター |
感 度 | 505mv with 1/30s |
フレームレート | 26fps 2592x1944 26fps 1280x960 |
インターフェース | USB2.0 |
露光時間 | 0.1ms~2000ms |
金 額 | ¥120,000 |
Feel free CMOSカメラ コンピューター特別セットモデル
ノートPCセットモデル CP605100B note キャンペーン金額 180,000円

顕微鏡は含まれません
お気軽にカメラ撮影が行えるモデルにしました。(Cマウントアダプターは、別途必要です)
・金額以上のクオリティーをお届けいたします。
仕様
カメラ Feel free CMOSカメラ CP605100B
ノートコンピューター
Monitor 14inch 1920x1080 無線マウス付き
コントロールソフト ToupViewソフトウエア
*ノートコンピューターは、予告なく変更になる場合があります。
タブレットPCセットモデル CP605100B tablet キャンペーン金額 180,000円

顕微鏡は含まれません
お気軽にカメラ撮影が行えるモデルにしました。(Cマウントアダプターは、別途必要です)
・金額以上のクオリティーをお届けいたします。
仕様
カメラ Feel free CMOSカメラ CP605100B
タブレットコンピューター
Monitor 11inch 1920x1200 無線マウス付き
コントロールソフト ToupViewソフトウエア
*タブレットコンピューターは、予告なく変更になる場合があります。
アイピースカメラ

・接眼レンズの代わりにカメラを差し込んで使います。
・サイス変換アダプターが2個付きますので、どんな顕微鏡にも取り付けできます。
・とてもリーズナブルなのにToupViewソフトウエアが付きますので、ソフトウエアの解析機能を使うことができます。

アイピースカメラ 仕様 | |
EyePeceカメラ TP305100A | |
カメラ | Sony IMX335 1/2.8inch 500万画素 |
シャッター方式 | ローリングシャッター |
感 度 | 505mv with 1/30s |
フレームレート | 592x120fps 2944 |
インターフェース | USB3.0 |
露光時間 | 0.1ms~2000ms |
金額 | ¥60,000 |
キャンペーン金額 | ¥45,000 |
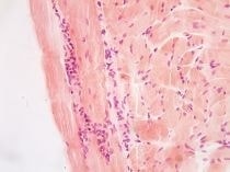
撮影サンプル
IPシリーズ








MTRPシリーズ
EPシリーズ


LowCostシリーズ



お問合せ
ご質問等御座いましたらお気軽にお問合せください。
東日本担当 宮崎 隆 携帯090-1653-1568 miyazaki@biotools.jp
西日本担当 宮崎 聖 携帯090-1895-1853 mysho@biotools.jp
デモ機のご依頼
デモ機ご依頼フォームから、もしくは担当へ直接ご連絡ください。
製品リスト
ゲル撮影装置
・CMOS式ゲル撮影装置
・LED透過イルミネーター
・UVトランスイルミネーター
・LEDゲルカッティングステージ
・モノクロフォトプリンター
・フォトプリンター
ケミルミ撮影装置
蛍光励起観察装置
・ハンディーライト型
・シャープカットゴーグル
・顕微鏡用蛍光ユニット
・実体顕微鏡用蛍光ユニット
・Exライト(カスタマイズモデル)
顕微鏡用CMOSカメラ(PC control)
・Mosaic CMOSカメラ
・ToupView CMOSカメラ
・2段冷却カメラ OwlEyeシリーズ
・Fell free CMOSカメラ
Simple Camera(PC Less)
・4K Tribrid カメラ
・QE shot mini カメラ
顕微鏡
アウトレットコーナー
PDFダウンロード
デモ機のご依頼フォーム